With the advancement of pulpal regenerative therapies, we have come to appreciate and respect the healing capacity of the pulp. While MTA and new bioceramic materials are allowing us to create better coronal seals, we now have new treatment options to replace the traditional apexification and apexigenesis procedures. While pulpal regenerative procedures were first applied to necrotic immature teeth, usually affected by trauma, this has led to the development of new vital pulp therapies on carious, immature teeth.
The following case demonstrates a MTA pulpotomy on a vital, healthy pulp with carious exposure.
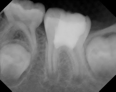
This 8 yr old presented in 2012 with deep caries on an immature #19. The pulp tested vital, but his dentist expected pulpal exposure. He was also reporting night time pain, which typically is associated with irreversible pulpitis.

Caries removed, pulp chamber cleaned out, MTA placed against the amputated pulp tissue, with resin restoration.

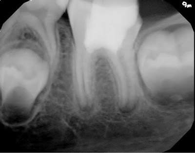
9 month re-eval finds the tooth a symptomatic and functional. Apices continue to develop normally.

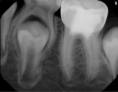
2 year recall reveals a symptomatic tooth with full function. Roots have continued to develop to normal length and thickness. Coronal protection recommended.

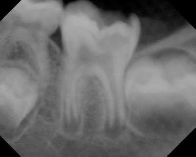
3 year recall finds tooth a symptomatic and functional. Root development is complete and appears normal.
While previous apexigenesis procedure have been used to keep the pulp alive in order to complete root development, these new materials seem to give a better prognosis and are an exciting advance in the development of vital pulp therapies.

