Now you are probably wondering what that title means? As we all know, posterior teeth often get craze lines (surface cracks) in the enamel due to truama, large restorations, heavy occlusion or parafunctional habits. When these craze lines go past the enamel and into the dentin, we refer to them as cracks. Coronal cracks are very common in adult teeth. Seeing a coronal crack in a tooth should prompt you to question the occlusal forces, parafunctional habits, size the existing restoration, the vitality of the tooth and then the need for coronal coverage.

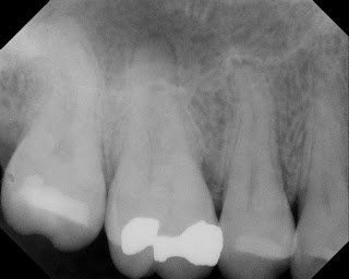
This patient came to our office in early 2010. She was reporting throbbing pain to temperature that had been bothering her for a couple of weeks. She also reporting biting pain. Diagnostics found #3 was normal to cold test, normal to probing, mild pain to percussion, pain to biting pressure. DX; #3 reversible pulpitis with symptomatic apical periodontitis and cracked tooth syndrome. We decided to treat endodontically before a crown would be placed.
Upon accessing the pulp, we found a stained crack on the mesial and smaller crack on the distal. Pt was informed that these cracks would not be completely removed, and would affect the long term prognosis for the tooth. The patient, understanding that the prognosis is guarded, elected to preserve the tooth as long as possible by completing the RCT and placing a crown.

RCT was completed and returned to GP for coronal coverage.

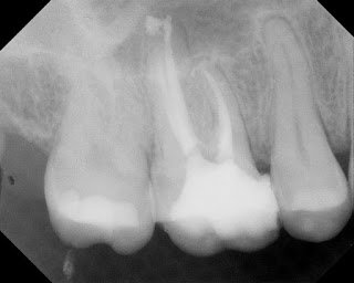
5 year recall of the tooth finds it fully functional and asymptomatic. Note the fine margins of the crown which play a key role in the success of this treatment. Some patients will elect to retain a natural tooth with a crack, understanding the guarded long term prognosis, rather than extract and replace it immediately.

