This 8 yr old patient had trauma 3 yrs earlier on this immature #9. His dentist bonded it the best he could. 3 yrs later, the tooth is necrotic with symptomatic apical periodontitis. (non-responsive to cold, pain to percussion, normal probings) Root apex is >1mm open. Pulpal regeneration was recommended.

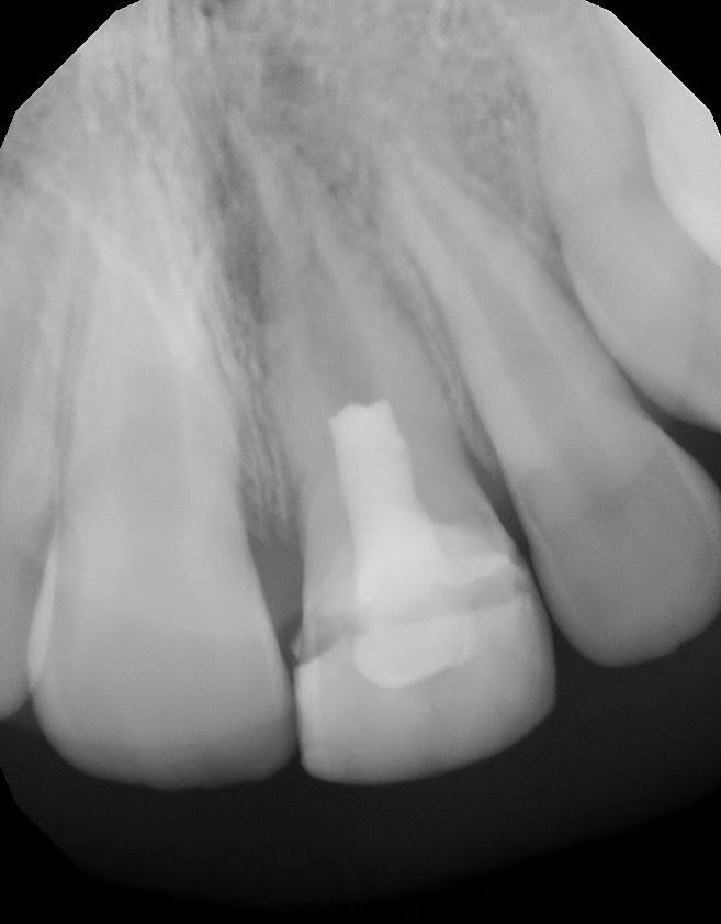
Pulpal regeneration peformed. Canal debrided with minimal filing, NaOCl irrigation, Saline rinse, EDTA final rinse. Blood clot initiated with MTA coronal plug placed below CEJ (to prevent staining).

Regenerative procedure completed in single step with MTA plug and resin coronal access filling.

Following the treatment, a post operative flareup occurred – requiring antibiotics. I was concerned that this may be detrimental to the regenerative process. I am continually amazed at the healing capacity of the tooth. At 6 months, the tooth is aysmptomatic, fully function and canal is closing down. A dentin bridge is formed just below the MTA barrier. There is no additional plan for endodontic treatment on this tooth – unless eventually needed for restorative purposes.

