
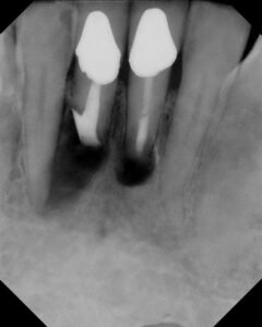
Because of the resorption at the apex of #25, a traditional root end preparation and filling was not possible with removing too much tooth structure. In this case, we bonded Geristore on the root apex and tried to “cap” the apex. Retrofill #24 is MTA.
At one week, the patient reported some pain and throbbing following the treatment with increased mobility. We stabilized the teeth with some bonded resin and recommended Augmentin.
At two weeks, patient reported improvement, but gingival inflammation was present and #25 had a class III mobility. Teeth were removed from occlusion to remove any occlusal trauma. We recommended a second antibiotic at that time, Clindamycin.
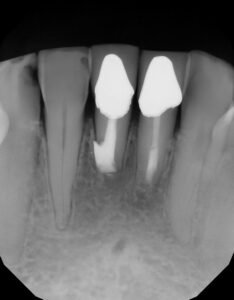
At three weeks post op, area is feeling better, inflammation/infection has resolved, tissue looks improved and both teeth are class II mobile.
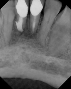
From this point, the patient has remained asymptomatic and we have seen full resolution of PARL.
This is a tooth that would be extracted by most dentist, and by many endodontists, however, apical surgery is too often overlooked as a treatment option.




