A patient recently came to SSE for a second opinion. She had a root canal on #21 just a month earlier by an endodontist. After the root canal, she continued to have pain and the root canal was retreated shortly thereafter. The patient was then sent to a periodontist who recommended extraction and placement of an implant. Aware of endodontic surgical options, her general dentist recommended she come for an additional evaluation. The patient was highly motivated to save her natural tooth.

Our exam found #21 normal to percussion, normal probings and swelling on the buccal. An additional canal was suspected, so CBCT was taken for further review.

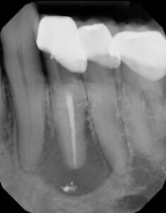
CBCT clearly shows an additional lingual canal. CBCT mapping allowed us to determine where the canal would be located and confirm that it had its own apical foramen. With greater understanding of the canal anatomy, available only through 3D imaging, we recommended non-surgical retreatment to address the missed lingual canal.
With the aid of the microscope, we were able to locate and treat the missed lingual canal.
Because a canal was missed, retreatment (rather than apicoectomy) was the treatment recommended. Prognosis is good. Proper endodontic therapy will save this patient time and money. Fortunately, this patient’s dentist suggested a second consultation for endodontic surgery rather than the extraction and implant placement. Endodontists are specialist is saving teeth.

