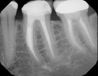
Removal of a separated instrument is rarely a simple task. The closer to the apex, the more difficult the removal. In this case, tooth #19 had a separated instrument 6 yrs earlier. The tooth had become symptomatic and the patient was having extensive crown and bridge work done.

A CBCT was taken to evaluate the separation in 3D. This image was very helpful because it told us the anatomy of the mesial root. It shows clearly that the mesial root is a single root, rather than two separate roots. With this information, we can plan to remove some tooth structure between the MB and ML canals in our attempt to access and remove the separated instrument. It also showed us that there were 2 separated instruments in the MB canal. This information is crucial in our ability to remove the spearated instrument. (The radiographic imaging also warned us not to remove any dentin mesial to the prepared space to prevent root perforation)

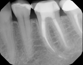
This treatment can only be accomplished with the use of the dental operating microscope and use the of ultrasonic instrumentation. Approximately 1 hour of treatment time was used in removing the separated instruments.

Final obturation.
Take home message from this case…
Always easier to prevent a separation than remove a separation.
Patients should be informed if an instrument separation occurs.
Advanced imaging (CBCT) provides valuable information that affects the course of treatment.
Microscopes are an indispensable tool in modern endodontic therapy.

