As clinician readers know, the canal anatomy of teeth is rarely simple. Lateral portal of exits (lateral canals) are a significant challenge to clean and are present in many of the teeth we see for root canal therapy. In a previous post, I discussed the use supplemental irrigation and ultrasonic instrumentation to clean isthmus tissue. That post can be found here: http://www.theendoblog.com/2012/07/the-isthmus.html I use these same techniques to address lateral portal of exits. These lateral exits are very common, but with proper irrigation, they can be predictably addressed.
Sometimes, as in this #19 below, the exit can be found at the apex in the form of a sharp distal turn or delta. Direct instrumentation may or may not be possible with small, pre-bent files (6 or 8).

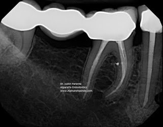
These exits can also be found in the furcation region. If untreated and contaminated with bacteria, they can feed furcation radiolucencies and cause attachment loss (probing). Here is a straightforward #30.

Untreated, you will see radiolucencies centered on the exit as in this #9 retreated below. I measured to the depth of the lateral canal and focused my irrigation and irrigant activation at that level.


