At Superstition Springs Endodontics, we are leaders in novel endodontic treatments including pulpal regeneration. The traditional treatment for immature roots of CaOH apexification fails to strengthen the root of the tooth and leaves the root more prone to fracture over the lifespan of the tooth.
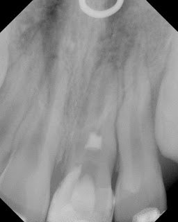
Pulpal regeneration allows “pulp-like” tissue to re-grow into the immature root and continue the development of the root. This provides the root with stronger, thicker root walls. Here’s another successful case of pulpal regeneration.

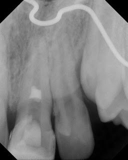
This young patient had a traumatic incident to tooth #9 5 months earlier. At our initial evaluation, the tooth responded normal to thermal testing. We decided to monitor the tooth over time. At a follow up visit, #9 exhibited no response to thermal testing with an open apex.

Pulpal regeneration was started. Complete pulpectomy was performed with minimal instrumentation to the apex, and irrigation with 5.25% NaOCl. A blood clot was initiated into the canal, a collagen plug was placed and an (white) MTA coronal barrier was placed below the level of the CEJ.

