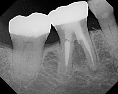
This patient presented for treatment of #30 in March 2009. Prior RCT had been done and a large furcal lesion as well as periapical lesion were noted. Retreatment was recommended. Upon access, we found 2 additional canals as well as a furcal perforation. The tooth was obturated and perforation was repaired using MTA.

Post-Op films shows the MTA repair in the furcal area. Note the large lesion around the mesial root.

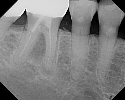
At 6 months, furcal and periapical lesion are improving and the tooth is functional.

At 18 months, the lesion continues to improve, tooth is completely asymptomatic and functional. Proper endodontic treatment and repair with MTA has retained a tooth that many would have considered “hopeless” or non-restorable based on the amount of furcal bone loss.

