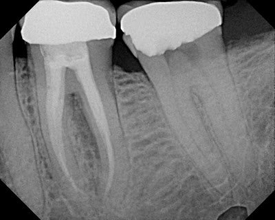
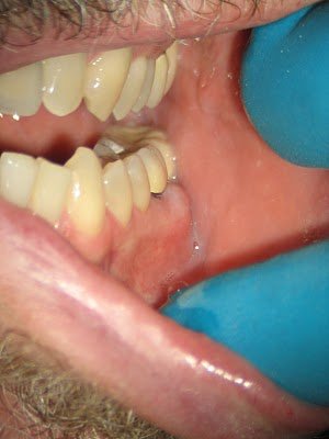
The tooth is deemed non-restorable and extraction recommended.
If you are unsure if a tooth has a cracked/fractured root, contact your endodontist. Not all teeth can be saved, but endodontists are the specialists for saving teeth and can help you determine which ones to save.




