ealing with cracked teeth can be very challenging. In the first place, there is a lot of confusion about what we are calling a cracked tooth. Craze lines, fractured cusps, split teeth and vertical root fractures are all often called “cracked” teeth. However, treatment and prognosis are different for all of these different situations.
Cracks in teeth are findings, not a diagnosis. Proper pulpal and periapical diagnosis as well as the location and extent of a crack are needed to determine a proper treatment plan. The problem with cracks in the tooth are the possibility for future bacterial penetration, which leads to inflammation and disease.
With these considerations, many teeth with cracks can be saved. Keys to saving teeth with cracks are:
1. Early detection and treatment
2. Proper endodontic diagnosis
3. Proper determination of the location and extent of a crack
The following case of a cracked tooth was recently treated at Superstition Springs Endodontics.

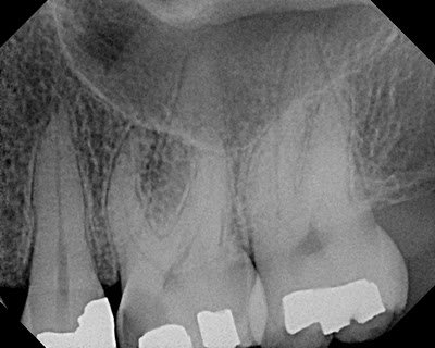
This patient presented with mesial decay on #14 causing discomfort. The tooth was normal to percussion, probing and no response to thermal test. DX: Necrotic pulp w/ normal periapex. A crack was noted on the distal marginal ridge. RCT recommended.
Closer examination finds that the crack ends near the level of the CEJ. Pt is informed of the crack and the prognosis is good, since the new crown will be able to cover the crack. The crack should be removed at the time of the build-up.
A main key to saving teeth with cracks is to identify the location and extent of a crack.
An upcoming Inner Space Seminar, entitled “Breakdance” will help clinicians know how to identify and classify cracks in teeth, as well as treatment plan restorative options for teeth with cracks.
A main key to saving teeth with cracks is to identify the location and extent of a crack.
An upcoming Inner Space Seminar, entitled “Breakdance” will help clinicians know how to identify and classify cracks in teeth, as well as treatment plan restorative options for teeth with cracks.

