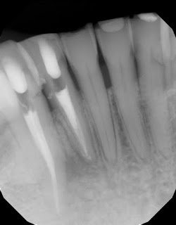
Sometimes we are quick to assume a tooth is fractured when we see lateral bone loss. But that radiographic finding alone isn’t enough to make that determination. If you cannot visualize a fractured, and the tooth is diagnosed as a necrotic pulp, it doesn’t matter how big the lucency is, it can and should be given the opportunity to heal. Proper diagnosis to determine vitality is the most important test for the prognosis of this tooth. In this case, with definite necrotic pulps on #26 and #27 and no periodontal defects, endodontic therapy is recommended.

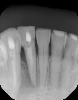
Necrotic pulp with sinus tract on the buccal of #26.

CBCT shows the apical and lateral bone loss on #26 and #27. The lateral bone loss on #27 is also suggestive of a possible root fracture, but since the tooth is necrotic, radiographic appearance alone is not enough evidence to diagnose this with a root fracture. CBCT also shows a 2 canaled root form on #26.

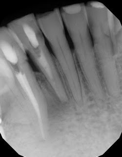
There was concern of a possible root fracture, but none could be see internally with microscope. CaOH medicated dressing was placed after initial debridement and NaOCl irrigation.

After 3 months in CaOH, we opened and examined again and could find no fractures. Another application of CaOH medicated dressing was placed.
Sometimes we are quick to assume a tooth is fractured when we see lateral bone loss. But that alone isn’t always enough to make that determination. Even with CBCT available, I tell my patients the only way to be 100% of a vertical root fracture is to see it.

