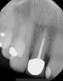
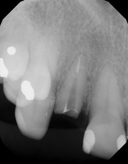
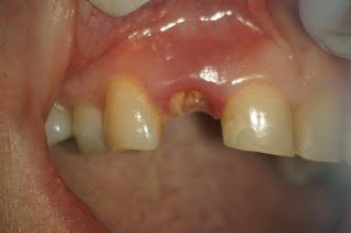
The endodontists at Superstition Springs Endodontics are skilled in restorative procedures closely associated with endodontic treatment. At your request, esthetic post and core buildups can be immediately placed following endodontic treatment.






The endodontists at Superstition Springs Endodontics are skilled in restorative procedures closely associated with endodontic treatment. At your request, esthetic post and core buildups can be immediately placed following endodontic treatment.




