It has been reported that 11.6% – 33% of boys and 3.6% – 19% of girls suffer some kind of dental trauma before age 12. Internal staining is common following a traumatic injury to a tooth. Calcific metamorphosis is the partial or complete obliteration of the pulp following dental trauma. An interesting study of 168 traumatized, discolored, anterior teeth found that 47.6% were partially obliterated, 31.6% were totally obliterated, and 20.8% were found necrotic. Necrosis was more associated with fractured teeth, while pulpal obliteration was associated with subluxation and concussion injury. It was also noted that injuries suffered in the 1st and 2nd decades of life resulted in more pulpal obliteration, while those suffered in the 3rd decade resulted in necrosis more often.
To remove this discoloration, typically endodontic therapy is performed and internal, non-vital bleaching is performed. The following case is a variation of this procedure.
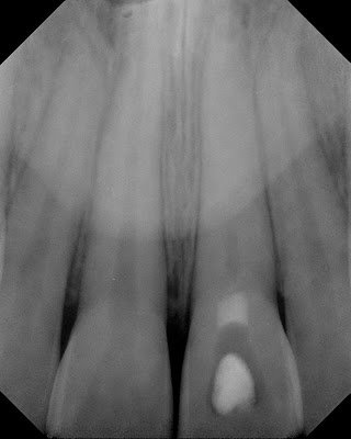
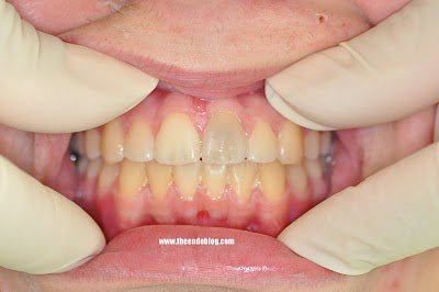
This 13 year old boy previously suffered a traumatic injury. Tooth #8 has discolored. The tooth is asymptomatic. Non-responsive to thermal testing, normal to percussion and probing.
It was decided to perform endodontic therapy, prior to internal bleaching to improve the esthetics of this tooth.
Partial pulpal obliteration is noted. A 1mm thick calcific barrier is found just below the level of the CEJ
CT is initiated and a complete calcific barrier is noted. It was decided to perform the internal bleaching without endodontic therapy.

A standard internal coronal barrier (glass ionomer) is placed over the calcific barrier to prevent internal bleach from exiting through cervical dentinal tubules and causing an inflammatory reaction in the pdl. A walking bleach technique is used. (Opalesence Endo)
After 1 week, pt returns and the internal bleach is removed. This tooth will be recalled to monitor vitality over time.
If pulpal obliteration occurs without necrosis, there may not be a need for endodontic therapy prior to internal bleaching. If a coronal barrier can be placed, without exposure (and possible contamination) of the pulpal tissue, then it would seem that internal bleaching could be performed without the need for complete endodontic therapy. Long term recall to monitor vitality will be done with this type of approach.

