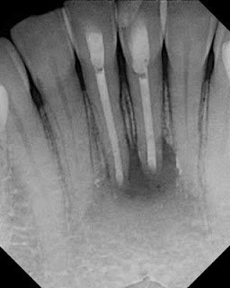
This patient was kicked in the face by a horse in 1998. Teeth were displaced (luxated). She repositioned them herself. RCT’s on #24 and #25 were done in 2008 by her general dentist. In
Jan 2011 she is having pain, percussion sensitivity, normal probings, adjacent teeth WNL. These teeth are diagnosed as: Prior RCT’s w/ Symptomatic Apical Periodontitis.


Axial and sagittal views in CBCT verify that these are single canals incisors. It also shows us the extent of the bone loss prior to our surgical access.
Due to the large size of the canals and over extension of the previous RCT, it was recommended to treat these teeth surgically with an apicoectomy.

Apicoectomy completed with MTA retrofill.

The following case is a similar, double apicoectomy. The CBCT confirmed that there were no missed canals. The large posts and good crown margins were the reasons we chose surgery over non-surgical retreatment.


